小児歯科



よつば歯科・小児歯科は、「虫歯ができない口の中を目指す」予防型の歯科医院です。 乳歯だけでなく、生涯にわたってご自身の歯で快適に噛めるよう、定期的な検診・クリーニングを重視し、お口の健康維持をサポートしています。小児診療では「泣く子がいない歯医者になるための工夫」として、明るくリラックスできる院内環境やキッズスペースなど、お子さまが安心して通える仕組みを整えています。
また、子どもの診療に慣れたスタッフが対応し、ひとりひとりのペースに合わせて丁寧にケアします。痛みや不安に配慮した診療を心がけ、治療時には笑気麻酔も活用しながら、お子さまも大人の方も安心して治療を受けられる体制を整えています。地域の皆さまの「虫歯ゼロ」「歯の健康寿命の延伸」を目指し、質の高い歯科医療を提供しています。

01 生え変わる
乳歯の下には永久歯が控えており、生え変わりの時期を待っています。
乳歯はいずれ抜けるからと虫歯を放置すると、永久歯の虫歯や不正咬合につながるおそれがあります。
健やかな口腔環境を守るためにも、乳歯を丁寧にケアすることが大切です。

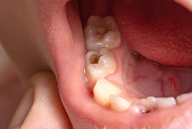
02 虫歯になりやすい
乳歯は、エナメル質や象牙質といった歯の層が薄く柔らかい構造をしています。
そのため虫歯が発生すると進行が早く、重症化しやすい傾向があります。
さらに、永久歯より酸への抵抗力が弱く、歯の表面積が小さいことや歯と歯の間隔が狭いことから、1本の虫歯が隣接する歯へ短期間で広がりやすい点にも注意が必要です。

03 虫歯の痛みに気づきにくい
子どもは自分の歯をよく観察することができず、虫歯ができても気づかないことが多いものです。
乳歯の虫歯は、永久歯のようにしみたり痛んだりすることが少ないため、症状が出にくいのも特徴です。
そのため、毎日の仕上げ磨きで大人が確認することが、虫歯の早期発見につながります。

04 歯が小さい
乳歯は、エナメル質や象牙質といった歯の層の厚さが永久歯の約半分で、歯自体も小さな構造をしています。
そのため歯の硬度が低く、外部からの影響を受けやすく、虫歯が進行しやすいという特徴があります。
必要に応じて、前後の文章とつながるように調整することもできます。
乳歯が生え始める生後6か月頃から受診がおすすめです。早くから通うことで歯医者に慣れ、予防意識も自然と身につきます。
はい、必要です。乳歯の虫歯は永久歯や噛み合わせに悪影響を与えるため、早期治療が大切です。
状況に応じて対応します。泣かない環境づくりや声かけを大切にし、必要に応じて笑気麻酔も使用します。
鼻から吸う麻酔で、リラックス効果があります。意識は保たれ、安全性も高いため小児歯科でよく使われます。
正しい歯みがき、食習慣の見直し、フッ素塗布、定期検診が効果的です。家庭と歯科医院の両方でのケアが重要です。
目安は小学校高学年頃までです。特に奥歯や生え替わりの時期は大人のチェックが欠かせません。
歯科医院で使用するフッ素は安全性が確立されています。虫歯予防に非常に効果的です。
3〜5歳頃から相談可能です。顎の成長を見ながら早期に対応できる場合があります。
3〜4か月に一度が目安です。虫歯予防と歯の成長チェックのためにも継続が大切です。

よつば歯科・小児歯科は、兵庫県姫路市豊富町甲丘にある地域密着型の歯科医院で、一般歯科・小児歯科・矯正歯科をはじめ、予防歯科・歯周病治療・インプラント・審美・ホワイトニングなど幅広い診療に対応しています。
院長は日本矯正歯科学会所属で、子どもから大人まで生涯にわたる口腔ケアを重視した診療を提供しています。
医院のコンセプトは「虫歯ゼロ」「歯周病の進行ゼロ」を目指し、治療後も定期的なメインテナンスを通じて健康な口内環境を維持することです。
また、子どもが安心して通える環境づくりにも力を入れており、キッズルームやおむつ交換台を完備、治療中の不安軽減に配慮した設備も充実しています。
診療では、正確な検査・治療を可能にする歯科用CTや大画面モニターを導入し、感染対策やバリアフリー対応も徹底しています。
アクセスは神姫バス「江鮒団地」停留所から徒歩1分、駐車場も10台完備で通院しやすい環境です。
診療は平日と土曜に行われ、WEB予約も可能です。地域の「生涯自分の歯で噛める健康」を支える歯科医院として、丁寧な診療と予防提案を行っています。
